保存治療(歯を残す治療)
-
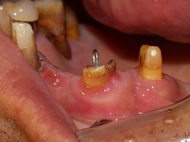
- 根っこの治療を行い、土台部分に針金でフックをかけます。
この上に仕掛け付きの仮歯を装着してゴムの力で引っ張ります。
仮歯がしっかり入るため外からの見た目も気にせず引っ張ることができます。
- 根っこの治療を行い、土台部分に針金でフックをかけます。
-
- 何度かゴムを調整し、ご自身の歯が出てきました。
一緒に歯周靭帯がついてきているので、この歯周靭帯を切除し歯茎が安定するのを待ちます。
この間も仮歯があるため見た目を気にせず過ごしていただけます。
- 何度かゴムを調整し、ご自身の歯が出てきました。
-
- 土台を立て、形を整え、型取りをします。
色合わせを行って、無事にブリッジを行うことができました。
- 土台を立て、形を整え、型取りをします。
- Qエクストルージョンの治療期間は?
- Aおよそ1ヵ月〜2ヵ月です。歯茎の上にご自身の歯質を2ミリほど出すことがゴールのため、個人差があります。
- Qエクストルージョンの保定期間は?
- A理想的には骨ができるまでの6ヶ月ですが、治療期間と同じ1〜2ヶ月の保定で治療をおこなうことが一般的です。
- Qエクストルージョンの寿命は?
- A何もしない状態と比べると、約3倍になると言われています。
寿命はご自身のプラークコントロール、噛む力などによって異なるため何年持つとは明言できません。 - Qエクストルージョン は何ミリ上げる必要がありますか?
- Aご自身の歯茎より上に2ミリ以上の歯質を確保できることがゴールです。
- Qエクストルージョンができないのはどのような場合ですか?
- A根が短く、引っ張り上げると歯冠歯根比が1:1以下になる場合はできません。
土台より被せ物が長くなってしまうと、支える能力がないためエクストルージョンを行っても予後が悪いです。 - Qエクストルージョンは医療費控除の対象ですか?
- Aはい。治療のため対象になります。
-
- 骨がなくなった部分に入り込んだ悪い組織や歯石をすべて取り除きます
-
- 人工の骨とエムドゲインの併用行い膜を置いて閉じます
この間も仮歯があるため見た目を気にせず過ごしていただけます。
- 人工の骨とエムドゲインの併用行い膜を置いて閉じます
- Q何の為に歯周組織再生療法を行うのですか?
- A歯周病で破壊されてしまった骨を少しでも再生させ、支えている骨を強化することで、歯を長持ちさせる目的で行います。
- Q歯周組織再生療法のデメリットは?
- A外科手術のため、身体への負担が大きいことです。また、元々の骨の状態によっては再生できる組織に限りがあることです。
- Q歯周組織再生療法の治療期間は?
- A手術は1日で終わりますが、完全に骨ができるか待つ期間が6ヶ月になります。
- Qリグロスでの治療ができない人は?
- Aリグロスは南組織の細胞も増殖させてしまうため、癌の患者様には適応禁忌です。
- Qぐらついた歯は治りますか?
- A治る場合もあります。支えている骨の量や、失った骨の形によって治る方と治らない方がいます。
- Q保険適用ですか?
- Aリグロスは保険適用ですがエムドゲインは保険適用外です。
※保険適応の場合、外科手術を行うまでに歯周基本治療が必須となります。 - Q歯が再生するのですか?
- A歯周組織再生療法は歯を支えている歯槽骨や歯茎を再生させるものです。
「保存治療」とは、虫歯や歯周病、外傷などによってダメージを受けた歯を、可能な限り「抜かずに」温存し、その機能と健康を取り戻すことを目指す歯科医療の分野です。
これは単に「虫歯を詰める」「根の治療をする」といった個別的な処置を指すだけでなく、歯を長持ちさせるために、口腔全体の状況を考慮し、様々な専門技術を組み合わせて歯の寿命を延ばす、包括的なアプローチです。
当院では、患者様の大切な歯を1本でも多く守り、長期的に健康な状態を維持できるよう、日々研鑽を積んでいます。
エクストルージョン法(矯正的挺出術)
エクストルージョンとは、歯を垂直に引っ張る部分矯正のことで、主に歯の頭部分が破折し、根っこだけ残ってしまった歯に用います。
矯正の弱い力で引っ張ることで周囲組織のダメージを最小限にし、歯周組織だけでなく、歯槽骨も同時に誘導することで、短くなってしまった根っこを最大限活用する方法です。
痛みも少なく、期間もそれほどかからないため、根っこだけになってしまった歯には第一選択になる治療です。
ご自身の歯が歯茎のラインより、高さ1.5mm・厚み1mmほど上にないと、被せ物は壊れやすく、仮に高価なセラミックを入れたとしても土台から外れてきてしまいます。
歯を少しでも長く、再治療少なくするためには、十分な歯質と力のコントロールが不可欠です。
適応症例
虫歯が歯の根元まで深く進んでしまった場合。
歯が折れて、その折れた線が歯ぐきの奥深くまで達している場合。
被せ物をつけるのに十分な歯の量が足りないけれど、歯の根っこ自体はしっかりしている場合。
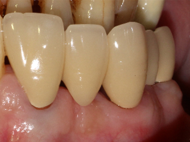
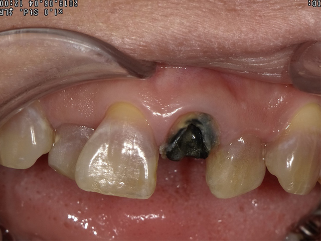
当院での治療例
BEFORE |
AFTER |
引っ張り上げた際についてきた歯周靭帯を切除して、歯質を高さ・厚み共に2ミリ以上確保することが出来ました。
引っ張り上げる期間は1ヶ月〜3ヶ月ほど、固定期間も1ヶ月〜3ヶ月ほどになります。
![]() |
引っ張り上げた歯に土台を立てて、被せ物を行いました。
根っこだけになり残すのが難しい歯でしたが、無事に歯を残すことができました。
現在治療後6年経過していますが、問題なく機能しています。
当院での治療の流れ
よくあるご質問(Q&A)
歯冠長延長術(クラウンレングスニング)
虫歯が歯ぐきの奥深くまで進んでいたり、歯が折れて歯ぐきの下まで欠けてしまったりした場合に、歯ぐきやその下の骨の一部を少しだけ削って、歯の健康な部分を露出させる外科的な処置です。
歯ぐきの中に隠れた虫歯や折れた部分を外科的に見えるようにすることで、被せ物や詰め物が歯にしっかりとくっつくための十分なスペースを確保します。
被せ物が歯ぐきに合わずに炎症が起きるのを防ぎ、長期間にわたって被せ物が安定して使えるようにします。
適応症例
虫歯が歯ぐきの境目よりも深く進んでいる場合。
歯が折れて、その折れた線が歯ぐきの奥深くまで達している場合。
被せ物を取り付けるのに、健康な歯の量が足りない場合。
歯周病などで歯ぐきのラインを整え、見た目を良くしたい場合
(例「ガミースマイル」などの改善)。
マイクロスコープを使用した精密根管治療
歯の神経が入っている「根管(こんかん)」という部分は、とても細く、複雑な形をしています。
虫歯が深く進んで神経に達したり、以前行った根っこの治療がうまくいかなかったりした場合、この根管の中の細菌感染を取り除くのが根管治療です。
当院では、歯科用マイクロスコープ(手術用の高性能な顕微鏡)を使うことで、肉眼では見えない根管の内部を拡大し、明るい光で照らしながら、精密な治療を行います。
肉眼では除去が困難なレベルの根管内部の細菌や病気の組織も、拡大視野で徹底的に取り除くことで、細菌が残ってしまうことで起きる再発のリスクを大きく減らし、歯の寿命を延ばします。
また、健康な歯を必要以上に削ることを最小限に抑え、歯の強度を保ちます。
適応症例
虫歯が深く進んで神経まで達し、ひどい痛みがある場合。
歯の神経がすでに死んでしまい、歯の根の先に膿の袋(根尖病巣)ができている場合。
以前受けた根管治療がうまくいかず、再感染や病気が再発している場合。
歯の根の内部に折れた器具などが残っている場合。
MTAセメント
当院の精密根管治療や、歯を残すための外科手術において、MTAセメント(Mineral Trioxide Aggregate cement)は非常に重要な役割を果たす、画期的な歯科材料です。
MTAセメントは、体になじみやすい特別な歯科用セメントで、主な成分はケイ酸カルシウムなどです。
水と混ぜると固まり、強いアルカリ性を示します。この特徴が、歯の内部や根っこの周りで高い治療効果を発揮します。
MTAセメントの特徴
体になじみやすい
歯や骨、歯ぐきなどの体の組織と非常に相性が良く、体の中に入れても拒絶反応が少ないため、安全性が高いです。
組織の再生を助ける
歯の神経や歯の根っこの周りで、歯の象牙質(歯の大部分を占める組織)やセメント質、骨などの硬い組織の再生を促します。
歯が元々持っている治る力を最大限に引き出します。
隙間なく封鎖する
固まるときにわずかに膨らむ性質があり、治療した部分を隙間なくぴったりと閉じ込めます。
これにより、細菌が再び入り込むのを防ぎ、再感染のリスクを大きく減らします。
強い殺菌効果
高いアルカリ性なので、治療した部分の細菌が増えるのを抑え、感染のコントロールに役立ちます。
湿った場所でも固まる
口の中のように少し湿っている環境でもしっかり固まるので、根管治療や外科手術でとても使いやすいです。
適応症例
直接覆髄(神経を抜かずに残す治療)
虫歯が深く、神経が露出しそうになったり、少し露出してしまったりした場合でも、MTAセメントを直接覆うことで、神経の炎症を抑え、神経を抜かずに残せる可能性を高めます。
歯を削る量を最小限にして、歯の寿命を延ばします。
穿孔修復(歯に開いた穴の修理)
根管治療中や虫歯が深く進行した際に、歯の根っこに意図せず開いてしまった穴を、MTAセメントで確実に塞ぎ、修理します。
感染が広がるのを防ぎ、歯を残します。
歯根端切除術の根尖逆充填
歯根端切除術で根っこの先端を切った後、その切り口にMTAセメントを詰めて、根っこの中から細菌が漏れ出すのを完全に防ぎます。
歯根端切除術(歯の根の先端を切って病気を治す手術)
根管治療を徹底的に行っても、歯の根っこの先端にできた病気(根尖病巣)が治らない場合や、根管の形が複雑すぎて通常の根管治療では対応できない場合に選ばれる、外科的な保存治療です。
歯ぐきを切開し、歯の根っこの先端の数ミリを切除して、病気の原因となっている部分を取り除くことで、歯を抜かずに残します。
通常の根管治療では治すのが難しい、あるいは不可能な歯でも、外科的に病気の部分を取り除くことで歯を残すことができます。
歯の根っこの先端にある感染源を直接取り除けるため、病気が再発するリスクを減らします。
適応症例
精密な根管治療を何回か行っても、歯の根っこの先の病気が良くならない、あるいは再発する場合。
歯の根っこの先端に大きな膿の袋(嚢胞)ができている場合。
根っこの中に取り除けない異物(治療中に折れた器具など)が詰まっている場合。
根管が石灰化などで塞がってしまい、根管治療が難しい場合。
意図的再植法(一度抜いた歯を戻して治す手術)
歯の根っこの先に大きな病気があり、通常の根管治療や歯根端切除術では治すのが難しい場合に、一度歯を抜いて、お口の外でその歯の病気を治療してから、元の場所に戻す(再植する)外科的な保存治療です。
歯をお口の外に取り出すことで、肉眼やマイクロスコープで根っこの先端を直接見ながら、より確実かつ細やかに病気の部分を取り除いたり、根管の処置を行ったりできます。
他の方法では治すのが難しい、あるいは不可能な歯でも、抜かずに残せる可能性があります。適応症例
歯の根っこの形が複雑で、通常の根管治療や歯根端切除術では治療が難しい大きな病気がある場合。
歯の根っこの中に取り除けない異物(折れた器具など)があり、他の方法では対応できない場合。
歯周病が進んで歯ぐきが下がってしまい、通常の治療では被せ物ができない場合。
歯の根っこが大事な神経や血管に近く、歯根端切除術を行うのが難しい場合。
自家歯牙移植法(ご自身の歯を別の場所に植え替える手術)
虫歯や歯周病、怪我などで、ある歯がもう残せないと判断されて抜歯が必要になった時に、お口の中の別の場所にあるご自身の健康な歯(主に親知らずなど、噛み合わせに影響のない歯)を、抜歯した歯があった場所へ移動して植え替える治療法です。
他人の歯や人工物ではなく、ご自身の歯を使うため、体が拒否反応を起こすリスクが非常に低いのが一番のメリットです。
歯と骨をつなぐ歯根膜という組織が残るため、噛んだ時の感覚がインプラントよりも天然の歯に近く、自然な噛み心地が期待できます。
また、歯根膜から顎の骨に適切な刺激が伝わるため、歯を失った後に起こる骨の吸収(骨が痩せること)を抑えます。
適応症例
虫歯や歯周病、怪我などで、抜歯しなければならない歯がある場合。
移植するのに適した「ドナー歯」(主に親知らずや、矯正治療などで抜く予定の歯など)があり、その歯の形や大きさが移植先のスペースに合う場合。
移植先の顎の骨が十分な状態である場合。
インプラント以外の治療法を検討している場合。
歯周組織再生医療(歯を支える骨を作り、歯を残す方法)
歯周病の進行によって、できた歯と骨の間の隙間(歯周ポケット)は、歯周基本治療を行い、歯石を除去し細菌と力のコントロールを行うことで歯茎が引き締まり健康にちかくなっていきます。
しかし、歯の周囲組織全てが元通りになったわけではありません。治癒する過程によっては骨が治りきらず破壊された状態で歯茎だけ治癒しているケースも少なくありません。
GTR法やエムドゲインは歯周組織(特に歯を支える骨)を強化することで、歯を支える力を強化し、抜歯宣告された歯を残す方法です。
従来の歯周外科治療では歯茎は下がってしまうリスクがありましたが、これらの方法は比較的歯茎が下がらず審美的に良好な状態を保てる方法になります。
また骨を再生しているため、歯が揺れて噛めないなどのストレスも軽減されます。
歯の状態によって当院で選択肢をご提案いたします。
※これらの治療法を適応できる症例は限られています。どんな状態でも歯を残すことを保証するものではありません。
広範囲の骨を再生する(GTR法)
GTR法は、歯周病によって広範囲に浅く失われた歯周組織を再生させる治療方法です。
歯周病によって、歯周組織に隙間(歯周ポケット)が発生すると、自然治癒力によって隙間を埋めようとします。しかし、歯槽骨や歯根膜繊維などの歯を支持組織の再生速度よりも歯肉の上皮組織の回復が速いため、支持組織の再生を上皮組織が邪魔してしまい、綺麗に再生することが難しくなってしまいます。
GTR法は外から無駄な組織が入ってこないようにメンブレンを設置することで、歯周病で損なわれた歯周組織の再生速度を均一に保てる歯周組織を行う歯周病治療です。
抜歯を行わないだけでなく歯周病で損なった審美性を取り戻すことに期待が持てる歯周病治療です。
部分的に壊れてしまった骨を再生する(エムドゲイン・リグロス)
エムドゲインは歯周病によって狭く深く失われた歯周組織を再生することを目的とした治療方法です。
幼少期の歯の発生過程の研究から生まれた歯周組織再生療法で、比較的に狭く深く歯周組織が失われているところに用いられます。
通常の再生速度では汚れが入り込んでしまい歯周病で失われた歯周組織の自然治癒は望めません。
しかし、エムドゲインやリグロスは歯周組織の再生を活性化し、歯周病の治療を行うことが可能です。
そのため、従来の治療法では抜歯を行う症状の歯周病の改善が望めます。
また、歯周病で損なわれた、歯周組織の主に骨の再生を行うため、歯ぐきが持ち上がり歯周病の影響で長く見えるようになった歯が正常な見え方になり審美性を回復させることにも期待が持てる歯周病治療です。
エムドゲイン治療の流れ
治療期間と料金の目安
自費歯周病治療
| 内容 | 税込み価格 | 治療期間 | 回数 |
|---|---|---|---|
|
結合組織移植術 |
50,000円/ブロック |
2~3ヶ月 |
3回 |
|
歯肉弁根尖側移動術 |
33,000円/本 |
2~3ヶ月 |
3回 |
|
歯周組織再生療法 |
110,000円/ブロック |
2~3ヶ月 |
2回 |
※上記は自由診療の為、保険適用外です
保存治療
| 内容 | 税込み価格 | 治療期間 | 回数 |
|---|---|---|---|
|
エクストルージョン |
85,000円/本 |
2ヶ月 |
2回 |
|
意図的再植術 |
85,000円/本 |
1~2週間 |
2回 |
|
自家歯牙移植 |
110,000円/本 |
1日~1ヶ月 |
3回 |
※上記は自由診療の為、保険適用外です
よくあるご質問(Q&A)
栃内歯科医院の「歯を残す」ことへのこだわり
保存治療は、歯科医師の技術力、経験、判断力が求められる高度な治療です。
当院では、以下の点にこだわり、最善の保存治療を提供することを心がけております。
精密な診断
最新のCTやマイクロスコープを活用し、肉眼では見えない部分まで正確に診断することで、最適な治療法を選択します。
専門性の高い技術
各治療法に精通した歯科医師が、豊富な経験と熟練の技術で精密な処置を行います。
最新設備と先進材料の導入
マイクロスコープ、ニッケルチタンファイル、ラバーダム防湿など、成功率を高めるための最新設備に加え、MTAセメントをはじめとする優れた生体材料を積極的に活用しています。
痛みに最大限配慮した治療
治療中の患者様の負担を軽減するため、表面麻酔や電動麻酔器を用いた痛みの少ない麻酔、丁寧でスピーディーな処置を心がけています。
丁寧な説明と患者様の同意
治療の必要性、方法、リスク、予後、費用について、患者様が完全に理解し、納得した上で治療を選択できるよう、分かりやすく、時間をかけて説明いたします。
「もう抜くしかない」と諦める前に、ぜひ一度、盛岡市の栃内歯科医院にご相談ください。
BEFORE
AFTER
